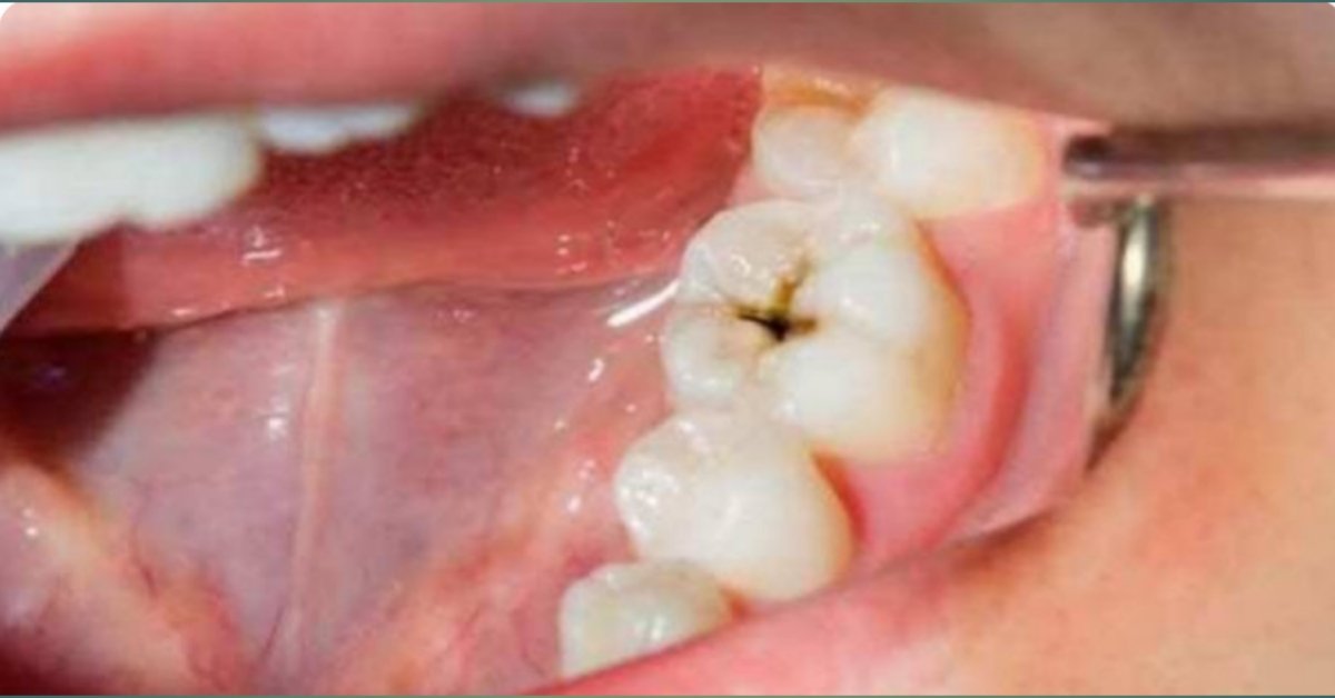
Tooth Cavity ବା ଦାନ୍ତରେ ପୋକ ଲାଗିବା ଦ୍ବାରା ଦାନ୍ତ ରେ ବହୁତ ଯନ୍ତ୍ରଣା ହୁଏ। ଏହି ଯନ୍ତ୍ରଣା ର ଚିକିତ୍ସା ରୋଷେଇ ଘରେ ରଖାଯାଇଥିବା ସାମଗ୍ରୀ ରୁ ହି କରିପାରିବା।

ଆପଣଙ୍କ ରୋଷେଇ ଘରେ ଥିବା ଏହି ଜିନିଷଗୁଡ଼ିକ ଆପଣଙ୍କୁ ଦାନ୍ତର ପୋକ ଏବଂ ଯନ୍ତ୍ରଣାରୁ ମୁକ୍ତି ଦେଇପାରେ।

ଦାନ୍ତର ପୋକ ଏବଂ ଯନ୍ତ୍ରଣାର ଘରୋଇ ଉପଚାର :

ଆଜିକାଲି ଖରାପ ଖାଦ୍ୟ ଅଭ୍ୟାସ ହେତୁ ଦାନ୍ତ କ୍ଷୟ ଏବଂ ଯନ୍ତ୍ରଣା ଲୋକଙ୍କ ପାଇଁ ଏକ ସାଧାରଣ କଥା ହୋଇଗଲାଣି। ଅଧିକାଂଶ ପିଲା ଦେଖାଯାଏ ଯେ ଅଳ୍ପ ବୟସରେ ସେମାନଙ୍କର ଦାନ୍ତ କ୍ଷୟ ହେବାକୁ ଲାଗେ। ବେଳେବେଳେ ଏହି ସମସ୍ୟା ଏତେ ବଢ଼ିଯାଏ ଯେ ଦାନ୍ତ ବାହାର କରିବାର ଆବଶ୍ୟକ ହୋଇଯାଏ। ସ୍ୱାସ୍ଥ୍ୟ ବିଶେଷଜ୍ଞଙ୍କ ଦ୍ବାରା ପରାମର୍ଶ ଦିଆଯାଇଥିବା କିଛି ଘରୋଇ ଉପଚାର ଆପଣଙ୍କୁ
ଦାନ୍ତର ପୋକ ଏବଂ ଯନ୍ତ୍ରଣାକୁ ଦୂର କରିବାରେ ସାହାଯ୍ୟ କରିଥାଏ।

ଲବଙ୍ଗ ତେଲ

ସ୍ୱାସ୍ଥ୍ୟ ବିଶେଷଜ୍ଞମାନେ କହିଛନ୍ତି ଯେ ଯଦି ଏହି ସମସ୍ୟାରେ ସାଧାରଣ ଟୁଥପେଷ୍ଟ ବଦଳରେ ଲବଙ୍ଗ ତେଲ ବ୍ୟବହାର କରାଯାଏ, ତେବେ ଦାନ୍ତର ପୋକ ଏବଂ ଯନ୍ତ୍ରଣା ଦୂର ହୋଇଯିବ। ଏଥିପାଇଁ ଆପଣଙ୍କୁ କପା ବା ତୁଳା ସାହାଯ୍ୟରେ ଦାନ୍ତରେ ଲବଙ୍ଗ ତେଲ ରଖିବାକୁ ପଡିବ। ଏଥିରେ ଆଣ୍ଟି-ଇନ୍‌ଫ୍ଲାମେଟୋରୀ ଏବଂ ଆଣ୍ଟିବ୍ୟାକ୍ଟେରିଆଲ୍ ଗୁଣ ଅଛି ଯାହା ଦାନ୍ତ ଯନ୍ତ୍ରଣାକୁ ହ୍ରାସ କରିଥାଏ।

ରସୁଣ

ପ୍ରାୟତଃ ଭାରତର ସମସ୍ତଙ୍କ ଘରେ ରସୁଣ ବ୍ୟବହୃତ ହୁଏ। ରୋଗ ପ୍ରତିରୋଧକ ଶକ୍ତି ବୃଦ୍ଧି ସହିତ, ରସୁଣ ଦାନ୍ତର ପୋକ ଉପରେ ମଧ୍ୟ ପ୍ରଭାବ ଦେଖାଏ। ସ୍ୱାସ୍ଥ୍ୟ ବିଶେଷଜ୍ଞଙ୍କ ମତରେ ରସୁଣର ଛୋଟ ଖଣ୍ଡକୁ ଦାନ୍ତ ରେ ଲାଗିଥିବା ପୋକ ଏବଂ ଯନ୍ତ୍ରଣାଠାରୁ ଆରାମ ମିଳିଥାଏ।

ପିଜୁଳି ପତ୍ର

ଦାନ୍ତ ରେ ଲାଗିଥିବା ପୋକ ଏବଂ ଯନ୍ତ୍ରଣାଠାରୁ ମୁକ୍ତି ପାଇବା ପାଇଁ ପିଜୁଳି ପତ୍ର ମଧ୍ୟ ଅତ୍ୟନ୍ତ ପ୍ରଭାବଶାଳୀ ବୋଲି ପ୍ରମାଣିତ ହୁଏ। ପିଜୁଳି ପତ୍ରକୁ ପାଟି ଧୋଇ ଛୋଟ ଛୋଟ ଖଣ୍ଡରେ ଭାଙ୍ଗିବାକୁ ପଡିବ, ଏହା ପରେ ଏହାକୁ ପାଣିରେ ଫୁଟାନ୍ତୁ ଏବଂ ଆପଣଙ୍କୁ ଏହି ପାଣିରେ ପ୍ରତିଦିନ ପାଟି ଧୋଇବାକୁ ପଡିବ। ଏହା କରିବା ଦ୍ବାରା ଆପଣ ଦାନ୍ତରେ ଥିବା ଯନ୍ତ୍ରଣା ଅନୁଭବ କରିବେ ନାହିଁ ଏବଂ ଲାଗିଥିବା ପୋକ ଭଲ ହେବା ଆରମ୍ଭ କରିବ।

Leave a Comment